What is an Impacted Tooth?
What is an Impacted Tooth? Have you ever had that feeling that
Lorem ipsum dolor sit amet, consectet eiusmod tempor incididunt ut labore e rem ipsum dolor sit amet. sum dolor sit amet, consectet eiusmod.
| Mon - Fri: | 8:00 am - 8:00 pm |
| Saturday: | 9:00 am - 6:00 pm |
| Sunday: | 9:00 am - 6:00 pm |






In this section, you’ll find up-to-date and informative content on oral and dental health, cosmetic treatments, implants, and modern dentistry. Stay tuned for dental care tips and expert insights.
What is an Impacted Tooth? Have you ever had that feeling that
How to Relieve Wisdom Tooth Pain Wisdom tooth pain… If you’re going
Proper Tooth Brushing Brushing your teeth is something most of us do
Does It Hurt After a Dental Implant? One of the first questions
What is Tooth Erosion? Our teeth often seem strong and durable, as
Why Do Teeth Get Stained? We all know that healthy, bright teeth
Differences Between Zirconia and Veneers When it comes to dental aesthetics, two
Why Does Bad Breath Happen? Bad breath…Maybe it’s one of those quiet
What is Fluoride Treatment? The Invisible Strength for Your Teeth Oral health
What Causes Dry Mouth and How Does It Go Away? That familiar,
Causes of Tooth Discoloration Smiling… Sometimes it speaks louder than a simple
Sedation in Dental Treatment For many people, the idea of visiting a
What Is Masseter Botox? Sometimes the tired expression we see when we
What Is a Dental Prosthesis? What Are the Types? Tooth loss is
What Is Bone Grafting Treatment? A Quiet but Very Important Procedure When
What Is a Dental Bridge and When Is It Needed? Missing teeth
Dental Treatment During Pregnancy Pregnancy is a truly special time, ushering in
Is Dental Tartar Cleaning Harmful? Among the countless information floating around online
What is a Digital Impression? The world of dentistry has quietly undergone
Toothache Treatment Toothache… That throbbing feeling that suddenly strikes in the sweet
What is Hollywood Smile? A smile... Sometimes it leaves no need for
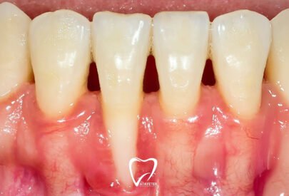
What is gum recession? Receding gums are an insidious problem that many
What is a Zirconium Crown? How is it Made? Our smile is,
Pain After Root Canal Treatment Dental health is vital not only for
Dental Implant Treatment A smile is a universal language that reflects a
What is Bruxism? How to Cure It Many people today unconsciously clench
Clear Aligner Treatment Today, aesthetic concerns are intertwined with our health. Our
As Atayeter Dental Clinic, we aim to provide you with reliable, scientific, and easily understandable information through this blogs .