Causes of Tooth Discoloration
Smiling… Sometimes it speaks louder than a simple greeting, sometimes stronger than long explanations. In photos, conversations, first meetings, and even in a single moment, a smile can express emotions better than words. However, when you look in the mirror and notice that your teeth have lost their former brightness, that smile may feel slightly incomplete.
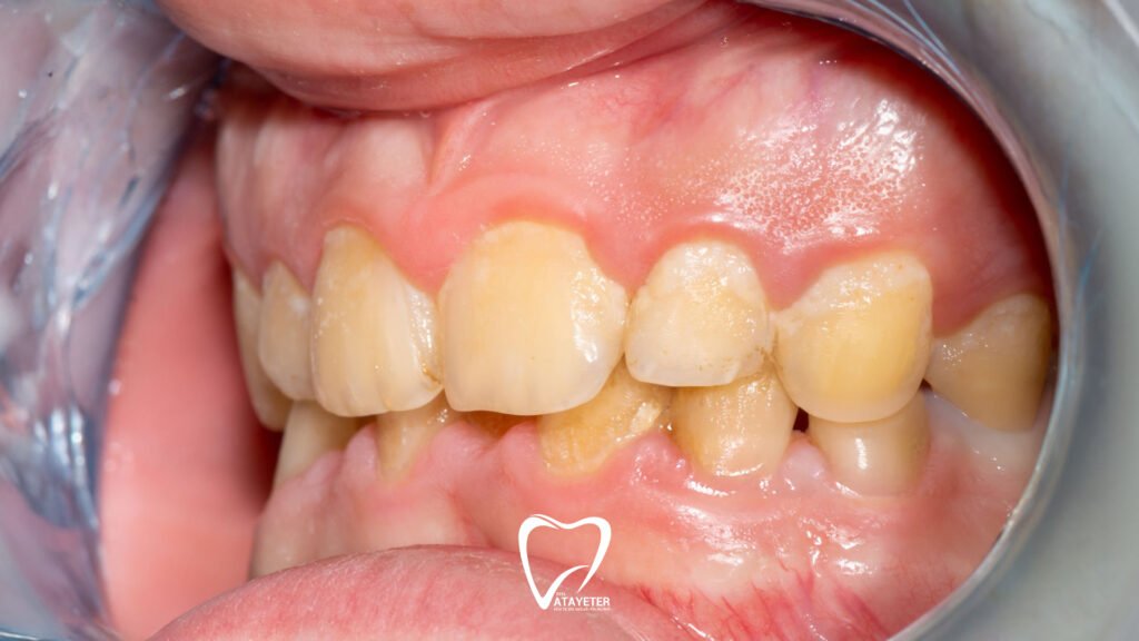
Tooth discoloration is actually far more common than most people think and is not always related to poor oral hygiene. Even individuals who brush regularly, use dental floss, and take good care of their oral health may experience changes in tooth color over time. Daily habits such as drinking tea or coffee, smoking, aging, gradual thinning of tooth enamel, and even genetic factors can all affect the natural shade of teeth.
Why Do Teeth Turn Yellow Over Time?
Tooth color does not change overnight. In most cases, small and unnoticed factors slowly dull the natural whiteness of teeth. This issue is not limited to people who neglect oral care. Daily habits, aging, and even certain medications can influence tooth color. Below, I have listed the most common factors that contribute to tooth discoloration.
Foods and Beverages Consumed Daily
Morning coffee, afternoon tea, or a glass of red wine with dinner… All enjoyable habits, but unfortunately not very friendly to teeth. The intense color pigments in these drinks gradually cling to the tooth enamel, causing a dull, yellowish, or brownish appearance. Carbonated beverages, fruit juices, tomato based sauces, and heavily spiced foods can also accelerate tooth discoloration.
Smoking and Tobacco Use
People who smoke usually notice tooth discoloration much earlier. This happens because nicotine and tar strongly adhere to the tooth surface. Over time, these stains can penetrate deeper layers, making them difficult to remove. Moreover, this is not just an aesthetic issue; smoking can also negatively affect gum health and increase the risk of oral diseases.

The Effect of Aging on Teeth
Aging causes changes throughout the body, and teeth are no exception. Over time, tooth enamel naturally becomes thinner. As the enamel wears down, the dentin layer underneath becomes more visible. Since dentin has a naturally yellowish tone, teeth may appear darker as age progresses, contributing to tooth discoloration.
Neglecting Oral Hygiene
When teeth are not cleaned regularly and properly, plaque and tartar buildup becomes inevitable. These deposits create a darker layer on the tooth surface, leading to visible tooth discoloration. Brushing alone is not enough; flossing and tongue cleaning are also essential. Otherwise, even healthy teeth can lose their natural brightness.
Medication Use and Certain Health Conditions
Some antibiotics, especially when used during childhood before tooth development is complete, can cause permanent changes in tooth color. Excessive fluoride intake, certain systemic diseases, or treatments such as chemotherapy may also affect tooth color. In such cases, tooth discoloration is not only superficial but may be related to the internal structure of the tooth.
Is Tooth Discoloration a Health Problem?
In most cases, tooth discoloration is purely an aesthetic concern and is not directly related to overall oral health. Teeth appearing less white than before does not necessarily mean there is a serious problem. Daily habits, aging, and the natural structure of teeth play a significant role in color changes.

However, in some cases, tooth discoloration may signal underlying oral health issues. Sudden color changes, uneven stains on the tooth surface, or accompanying sensitivity, pain, or discomfort may indicate gum disease or tooth decay. In such situations, consulting a dentist rather than ignoring the symptoms is the best approach.
It is also important to remember that healthy teeth do not have to be perfectly white. Natural tooth color varies from person to person due to genetic differences. Some people naturally have brighter teeth, while others may have slightly yellowish tones. This does not mean the teeth are unhealthy.
Is Teeth Whitening Really Effective?
Many people wonder about this question. The short answer is yes when performed using proper techniques and under the supervision of a dentist, professional teeth whitening treatments are both effective and safe. Clinical whitening systems work without damaging the tooth structure and can lighten tooth color by several shades, significantly reducing the appearance of tooth discoloration.
Of course, results vary from person to person. Some individuals notice a clear difference after just one session, while others may require multiple sessions to achieve the desired shade. Factors such as tooth structure, the cause of tooth discoloration, enamel thickness, and long standing stains all influence the outcome.
What matters most is applying whitening treatments consciously. Over the counter products found online may seem effective in the short term, but they can cause tooth sensitivity and enamel damage. Professional whitening, on the other hand, is a controlled and measured procedure that respects the limits of the tooth.

Can Tooth Discoloration Be Prevented?
Tooth discoloration may not be completely preventable, but it can certainly be slowed down and minimized. This does not require drastic changes or difficult routines. A few simple yet effective habits incorporated into daily life can help maintain the natural color of teeth for a longer time.
First of all, regular dental check ups should not be postponed. Many people visit the dentist only when they feel pain, but routine examinations help detect potential problems early. Additionally, professional dental cleanings performed every six months help remove surface stains that cannot be eliminated by brushing alone.
Frequently consumed drinks such as tea, coffee, and acidic beverages have a direct impact on tooth color. Using a straw may seem like a small detail, but it reduces contact between the liquid and teeth, helping to slow down tooth discoloration. Limiting sugary foods also plays an important role in protecting both tooth color and overall oral health.
How Can Tooth Discoloration Be Prevented?
The most effective way to prevent tooth discoloration is to make proper and regular oral care part of daily life. Brushing teeth gently at least twice a day, using dental floss, and not neglecting tongue cleaning help prevent plaque buildup on tooth surfaces. Rinsing the mouth with water after consuming tea, coffee, or acidic drinks can significantly reduce color changes over time. Limiting smoking and attending regular dental check-ups also play a key role in preserving the natural color of teeth.
Healthy and well-maintained teeth do not need to be perfectly white; what truly matters is that they are clean and strong. If you want to protect your smile for longer, make a small but effective change in your oral care routine today and start giving your teeth the care they deserve.







Comments are closed