Diş Sararması Nedenleri
Gülümsemek… Bazen bir merhabadan, bazen uzun uzun anlatılan cümlelerden bile daha güçlü bir ifade biçimi. Fotoğraflarda, sohbetlerde, ilk izlenimlerde hatta bazen tek bir gülüşle karşımızdakine ne hissettiğimizi anlatabiliriz. Ancak aynaya baktığınızda dişlerinizin eski parlaklığını kaybettiğini fark ettiğiniz an, o gülümseme ister istemez biraz gölgelenir.
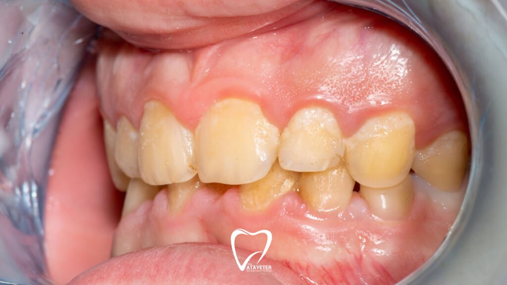
Diş sararması aslında düşündüğünüzden çok daha yaygın bir durumdur ve her zaman yetersiz ağız bakımıyla ilgili değildir. Düzenli olarak dişlerini fırçalayan, diş ipi kullanan ve ağız bakımına özen gösteren kişiler bile zamanla dişlerinde renk değişikliği yaşayabilir. Günlük hayatta tüketilen çay, kahve ve sigara gibi alışkanlıklar, yaşın ilerlemesi, diş minesinin zamanla incelmesi ya da bazı genetik faktörler dişlerin doğal rengini etkileyebilir.
Dişler Neden Zamanla Sararır?
Dişlerin rengi bir günde değişmez. Çoğu zaman fark etmeden ilerleyen küçük etkenler, zamanla dişlerin doğal beyazlığını gölgeler. Üstelik bu durum yalnızca ağız bakımını ihmal eden kişilere özgü değildir. Günlük alışkanlıklar, yaş ve hatta kullanılan bazı ilaçlar bile diş rengini etkileyebilir. Dişlerin sararmasını en çok tetikleyen faktörleri aşağıda sizler için sıraladım.
Günlük Hayatta Tüketilen Yiyecek ve İçecekler
Sabah kahvesi, öğleden sonra içilen çay ya da akşam yemeğinde eşlik eden bir kadeh kırmızı şarap… Hepsi keyifli ama dişler için aynı şeyi söylemek zor. Bu içeceklerin içindeki yoğun renk verici maddeler, zamanla diş minesine tutunur ve dişlerin daha mat, sarı ya da kahverengiye yakın görünmesine neden olur. Gazlı içecekler, meyve suları, salçalı soslar ve yoğun baharatlar da bu süreci hızlandırabilir.
Sigara ve Tütün Alışkanlığı
Sigara kullananlar diş sararmasını genellikle daha erken fark eder. Bunun nedeni, nikotin ve katranın diş yüzeyine adeta yapışmasıdır. Oluşan lekeler sadece yüzeyde kalmaz, derinleşerek temizlenmesi zor bir hal alabilir. Üstelik bu durum yalnızca estetik bir problem değildir; diş eti sağlığını da olumsuz etkileyerek ağız içi sorunlara kapı aralar.

Zamanın Dişler Üzerindeki Etkisi
Yaş almak vücudun her alanında olduğu gibi dişlerde de bazı değişiklikler yaratır. Diş minesinin zamanla incelmesi oldukça normaldir. Mine inceldikçe, altında yer alan ve doğal olarak daha sarı tonlara sahip olan dentin tabakası görünür hale gelir. Bu yüzden yaş ilerledikçe dişlerin rengi de daha koyu algılanabilir.
Ağız Bakımının Aksatılması
Dişler düzenli ve doğru şekilde temizlenmediğinde, plak ve diş taşı oluşumu kaçınılmazdır. Bu birikimler diş yüzeyinde koyu bir tabaka oluşturarak dişlerin sarı görünmesine neden olur. Sadece dişleri fırçalamak değil, diş ipi kullanmak ve dili temizlemek de bu açıdan oldukça önemlidir. Aksi halde dişler ne kadar sağlam olursa olsun, parlaklığını kaybedebilir.
İlaç Kullanımı ve Bazı Sağlık Sorunları
Bazı antibiyotikler, özellikle diş gelişiminin tamamlanmadığı çocukluk döneminde kullanıldığında diş renginde kalıcı değişikliklere yol açabilir. Bunun yanı sıra aşırı florür alımı, bazı sistemik hastalıklar ya da kemoterapi gibi ağır tedaviler de dişlerin rengini etkileyebilir. Bu tür durumlarda sararma, yalnızca yüzeysel değil, dişin iç yapısıyla da ilişkili olabilir.
Diş Sararması Bir Sağlık Problemi midir?
Diş sararması çoğu zaman yalnızca estetik bir durumdur ve kişinin genel ağız sağlığıyla doğrudan ilgili olmayabilir. Yani dişleriniz eskisi kadar beyaz görünmüyor diye mutlaka bir sorun var demek doğru değildir. Günlük alışkanlıklar, yaş ve dişin doğal yapısı bu renk değişiminde büyük rol oynar.

Ancak bazı durumlarda diş sararması, ağız içinde yolunda gitmeyen bir şeylerin sinyali olabilir. Özellikle kısa sürede ortaya çıkan belirgin renk değişimleri, diş yüzeyinde düzensiz lekeler, beraberinde gelen hassasiyet, sızlama ya da ağrı gibi şikâyetler varsa, bu tablo bir diş eti problemi ya da çürüğün habercisi olabilir. Böyle durumlarda “nasıl olsa geçer” demek yerine bir diş hekimine görünmek en doğru adım olur.
Şunu da unutmamak gerekir: Sağlıklı dişler her zaman reklamlarda gördüğümüz kadar bembeyaz olmak zorunda değildir. Herkesin diş rengi genetik yapısına bağlı olarak farklıdır. Kimi insanların dişleri doğal olarak daha açık tonlardayken, kimilerinde bu ton biraz daha sarıya yakındır. Bu, dişlerin sağlıksız olduğu anlamına gelmez.
Diş Beyazlatma Gerçekten Etkili mi?
Bu soruyu merak eden kişi sayısı oldukça fazla. Kısa cevapla söylemek gerekirse; evet, doğru yöntemlerle ve mutlaka bir diş hekimi gözetiminde yapıldığında profesyonel diş beyazlatma uygulamaları hem etkili hem de güvenlidir. Klinik ortamda kullanılan beyazlatma sistemleri, dişin yapısına zarar vermeden çalışır ve diş rengini birkaç ton daha açık hale getirip. Diş sararmasının sizi rahatsız edebilecek konumdan uzaklaştırır.
Elbette herkes aynı sonucu aynı sürede almaz. Bazı kişiler tek seanstan sonra aynaya baktığında farkı net bir şekilde görürken, bazı dişlerde istenen tona ulaşmak için birkaç seans gerekebilir. Bunun nedeni dişlerin yapısının kişiden kişiye farklı olmasıdır. Sararmanın kaynağı, diş minesinin kalınlığı, yıllardır oluşmuş lekelerin derinliği ve kişinin beklentisi bu süreci doğrudan etkiler.
Önemli olan, bu işlemin bilinçli bir şekilde yapılmasıdır. İnternette sıkça karşılaşılan kontrolsüz beyazlatma ürünleri kısa vadede etkili gibi görünse de diş hassasiyetine ve mine zararına yol açabilir. Oysa profesyonel beyazlatma, dişin sınırlarını bilen, ölçülü ve kontrollü bir uygulamadır.

Diş Sararmasını Önlenebilir Mi?
Diş sararması tamamen engellenemeyebilir, ancak bu süreci yavaşlatmak ve sararmayı mümkün olduğunca azaltmak kesinlikle mümkündür. Bunun için büyük değişikliklere ya da zorlayıcı rutinlere gerek yok. Günlük hayatta edinilen birkaç küçük ama doğru alışkanlık, dişlerin doğal rengini uzun süre korumasına ciddi katkı sağlar.
Öncelikle diş hekimi kontrollerini ertelememek çok önemlidir. Çoğu kişi diş ağrısı olmadıkça kontrole gitmeyi düşünmez, ancak düzenli muayeneler olası sorunları erkenden fark etmeyi sağlar. Bunun yanında, yaklaşık altı ayda bir yapılan profesyonel diş temizliği, diş yüzeyinde biriken ve fırçayla tam olarak temizlenemeyen lekelerin giderilmesine yardımcı olur.
Gün içinde sık tüketilen çay, kahve ve asitli içecekler dişlerin rengini doğrudan etkiler. Bu tür içecekleri pipetle tüketmek kulağa küçük bir detay gibi gelse de, sıvının dişlerle temasını azaltarak sararmayı geciktirebilir. Aynı şekilde şekerli gıdaları mümkün olduğunca sınırlamak, hem diş rengini hem de genel ağız sağlığını korumada önemli bir rol oynar.
Diş Sararması Nasıl Önlenir?
Diş sararmasını önlemenin en etkili yolu, düzenli ve doğru ağız bakımını günlük hayatın bir parçası haline getirmektir. Dişleri günde en az iki kez nazikçe fırçalamak, diş ipi kullanmak ve dil temizliğini ihmal etmemek, diş yüzeyinde oluşan plakların birikmesini engeller. Çay, kahve ve asitli içecekleri tükettikten sonra ağzı suyla çalkalamak, dişlerin zamanla renk değiştirmesini büyük ölçüde azaltır. Sigara kullanımını sınırlandırmak ve düzenli diş hekimi kontrollerine gitmek de dişlerin doğal rengini korumada önemli bir rol oynar.
Sağlıklı ve bakımlı dişler her zaman bembeyaz olmak zorunda değildir; önemli olan temiz ve güçlü olmalarıdır. Siz de gülüşünüzü daha uzun süre korumak istiyorsanız, bugün ağız bakım rutininize küçük ama etkili bir dokunuş yapın ve dişlerinize hak ettiği özeni göstermeye hemen başlayın.







Comments are closed