
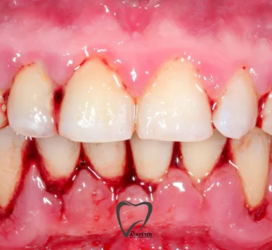
Diş eti hastalıkları, diş etlerindeki enfeksiyonları ve iltihapları tedavi eder. Diş eti çekilmesi, kanama ve diğer rahatsızlıklar için uzman tedavisi sağlıyoruz.

Diş eti hastalıkları, diş etlerindeki enfeksiyonları ve iltihapları tedavi eder. Diş eti çekilmesi, kanama ve diğer rahatsızlıklar için uzman tedavisi sağlıyoruz.

Estetik diş hekimliği, dişlerinizin görünümünü mükemmelleştirir. Gülüş tasarımı, diş beyazlatma ve estetik dolgularla doğal ve etkileyici gülüşler yaratıyoruz.

Pedodonti, çocukların diş sağlığını korumak için özel tedavi yöntemleri sunar. Erken yaşta sağlıklı dişler ve düzgün gülüşler için uzman kadromuzla hizmet veriyoruz.

Ortodonti, diş ve çene hizalamalarını düzelterek sağlıklı ve estetik gülüşler sağlar. Braket ve diş teli tedavileriyle dişlerinizin düzgünlüğünü kazandırıyoruz.

Ağız ve çene cerrahisi, çene ve ağız yapılarındaki hastalıkları tedavi eder. Diş çekimi, çene kırıkları ve diğer cerrahi işlemlerle sağlıklı bir ağız yapısı oluşturuyoruz.

Kanal tedavisi, enfekte olmuş diş köklerini temizleyerek dişin kurtarılmasını sağlar. Ağrısız ve etkili bir tedavi ile sağlıklı dişlerinize yeniden kavuşun.

Protez diş tedavisi, eksik dişlerinizi doğal görünümlü ve işlevsel dişlerle tamamlar. Sabit ve hareketli protez seçenekleriyle sağlıklı ve estetik gülüşler sunuyoruz.

Diş eti hastalıkları, diş etlerindeki enfeksiyonları ve iltihapları tedavi eder. Diş eti çekilmesi, kanama ve diğer rahatsızlıklar için uzman tedavisi sağlıyoruz.

Dişlerimiz, sadece yemek yememizi sağlayan yapılar değildir; aynı zamanda gülüşümüzün, özgüvenimizin ve sosyal hayatımızın da en önemli parçalarından biridir.